Skip to content Skip to sidebar Skip to footer

What Causes Large Acne Bumps

What Causes Large Acne Bumps


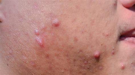
Do you have a pesky white bump on your face that won't seem to go away? If so, you may be dealing with a closed comedo, also known as a whitehead. These bumps occur when dead skin cells and oils clog your pores, leaving a small, white, raised bump on the skin's surface.

Understanding Closed Comedones

Closed comedones are a common type of acne that affects millions of people worldwide. The condition typically appears as small, white or skin-colored bumps on the face, neck, chest, and back.

While the exact cause of closed comedones is unknown, it is believed that they occur due to an excess of sebum production in the skin. Poor skincare habits, including failure to cleanse the skin properly and using harsh or irritating products, can also contribute to the development of closed comedones.

If left untreated, closed comedones can become inflamed and lead to more severe forms of acne, such as nodules and cysts.

The Solution: Derma Drinkables Acne

If you're struggling to clear up your closed comedones, you may want to give Derma Drinkables Acne a try. This innovative product is designed to promote clear, healthy skin from the inside out.

Derma Drinkables Acne contains a unique blend of natural ingredients that work together to address the root causes of acne, including sebum overproduction, inflammation, and clogged pores. Key ingredients include:

  • Vitamin A - helps to regulate sebum production and prevent clogged pores
  • Zinc - reduces inflammation and helps to prevent acne breakouts
  • Burdock root extract - has antibacterial properties that help to eliminate acne-causing bacteria
  • Turmeric extract - reduces inflammation and helps to prevent scarring

Derma Drinkables Acne is easy to use - simply mix the powder into water or juice once per day and drink up. The product is vegan, gluten-free, and free from artificial preservatives and flavors.

Real Results

But does Derma Drinkables Acne really work?

According to one satisfied customer, the answer is a resounding yes.

"How I Finally Cleared My Closed Comedones with Derma Drinkables Acne"

Derma Drinkables Acne

After struggling with closed comedones for years, this customer was ready to try anything to clear up their skin. They decided to give Derma Drinkables Acne a chance, and the results speak for themselves.

After just a few weeks of consistent use, the customer noticed a significant improvement in their skin's appearance. Their closed comedones had disappeared, leaving behind clear, healthy-looking skin.

The customer was thrilled with the results and recommends Derma Drinkables Acne to anyone struggling with acne of any type.

The Bottom Line

If you're dealing with closed comedones or any other type of acne, Derma Drinkables Acne may be worth a try. With its unique blend of natural ingredients, this product is designed to tackle the root causes of acne and promote clear, healthy skin from the inside out. Give it a try and see the difference for yourself!

White Bump on Face

And remember, if you're dealing with a white bump on your face, it's likely a closed comedo. Armed with this knowledge and the right products, you can banish those pesky bumps for good.